Este nuevo coronavirus infecta y daña principalmente los pulmones, pero los científicos han descubierto que también puede afectar otros órganos.

Por Pam Belluck, para The New York Times International Weekly
Conforme los casos de infección por coronavirus proliferan en todo el mundo y los gobiernos toman medidas fuera de lo común para limitar la propagación, todavía hay mucha confusión respecto de qué le hace exactamente el virus al cuerpo de las personas.
Los síntomas –fiebre, tos, falta de aire- son comunes a muchas otras enfermedades, de la gripe a las infecciones por estreptococo y el resfrío común. Esto es lo que los expertos en medicina y los investigadores han averiguado hasta ahora sobre la progresión de la enfermedad causada por este nuevo coronavirus… y qué es lo que todavía no saben.
¿Este coronavirus causa infección?
El virus se contagia a través de las gotitas de saliva que pasan al aire debido a la tos o los estornudos y con las que las personas cercanas pueden entrar en contacto a través de la nariz, la boca o los ojos. Las partículas virales de esas gotitas viajan rápidamente al fondo de los conductos nasales y las mucosas del fondo de la garganta, adhiriéndose a un receptor particular de las células.
Las partículas de coronavirus tienen proteínas en forma de puntas que sobresalen de su superficie, y estas puntas se adhieren a las membranas de las células, permitiendo que el material genético del virus ingrese en la célula humana.
Ese material genético luego “secuestra el metabolismo de la célula y en la práctica le dice: ‘No cumplas tu función habitual. Ahora tu trabajo es ayudarme a multiplicar y generar el virus’”, dijo William Schaffner, especialista en enfermedades infecciosas del Centro Médico de la Universidad Vanderbilt de Nashville.

¿Cómo es que el proceso causa problemas respiratorios?
Conforme las copias del virus se multiplican, salen e infectan las células vecinas. Los síntomas a menudo comienzan en el fondo de la garganta con dolor y tos seca.
El virus entonces “desciende progresivamente por los conductos bronquiales”, dijo el Dr. Schaffner. Cuando el virus llega a los pulmones, las membranas mucosas de estos se inflaman. Eso puede dañar los alvéolos y estos tienen que trabajar más para cumplir su función de suministrar oxígeno a la sangre que circula por el cuerpo y eliminar el dióxido de carbono de la sangre, de modo que pueda ser exhalado.
“Si tenemos inflamación allí, es mucho más difícil que el oxígeno nade a través de la membrana mucosa”, dijo Amy Compton-Phillips, directora clínica del Sistema de Salud de Providence, que comprende al hospital de Everett, Washington, donde se dio el primer caso informado de coronavirus en los Estados Unidos en enero.
La inflamación y el flujo de oxígeno dificultado pueden hacer que esas zonas de los pulmones se llenen de fluidos, pus y células muertas. Puede producirse entonces una neumonía, una infección en los pulmones.
Algunas personas tienen tanta dificultad para respirar que necesitan que se les coloque un respirador. En los peores casos, conocidos como Síndrome de Dificultad Respiratoria Aguda, los pulmones se llenan de tanta cantidad de fluidos que ningún de apoyo respiratorio es suficiente y el paciente muere.
¿Qué trayectoria sigue el virus en los pulmones?
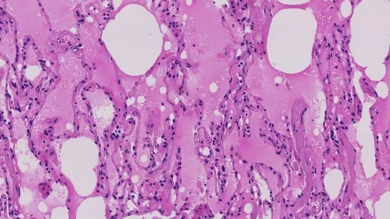
Shu-Yuan Xiao, profesor de patología de la Escuela de Medicina de la Universidad de Chicago, ha estudiado informes de patología de pacientes con coronavirus en China. Señaló que al parecer el virus comienza en las zonas periféricas de ambos lados del pulmón y puede tardar un tiempo en llegar al tracto respiratorio superior, la tráquea y otras vías respiratorias centrales.
El Dr. Xiao, que también es director del Centro de Patología y Diagnóstico Molecular de la Universidad de Wuhan, dijo que ese patrón ayuda a explicar por qué en Wuhan, donde comenzó el brote, muchos de los primeros casos no fueron identificados de inmediato.
El régimen inicial de análisis de muchos hospitales chinos no siempre detectó la infección en la periferia de los pulmones y entonces algunas personas con síntomas fueron enviadas a su casa sin tratamiento.
“Estas habrían ido a otros hospitales en busca de tratamiento o se habrían quedado en casa, contagiando a su familia”, explicó. “Esa es una de las razones por las cuales hubo una difusión tan grande”.
Un estudio reciente de un equipo encabezado por investigadores de la Escuela Icahn de Medicina de Mount Sinai reveló que más de la mitad de 121 pacientes de China tenían tomografías computadas normales al comienzo de su enfermedad. Ese estudio y los trabajos del Dr. Xiao muestran que, a medida que la enfermedad avanza, las tomografías muestran “opacidades de vidrio esmerilado”, una especie de velo borroso en partes del pulmón que son evidentes en muchos tipos de infecciones respiratorias virales.
Esas zonas opacas pueden dispersarse y engrosarse en distintos lugares conforme la enfermedad se agrava, creando lo que los radiólogos llaman un patrón de “crazy paving” o empedrado desordenado en la tomografía.
¿Los pulmones son la única parte del cuerpo afectada?
No necesariamente. Compton-Phillips dijo que la infección puede extenderse a través de las membranas mucosas desde la nariz hasta el recto.
De modo que, si bien el virus parece centrarse en los pulmones, también puede infectar células del sistema gastrointestinal, dicen los expertos. Esta puede ser la razón de que algunos pacientes tengan síntomas como diarrea o indigestión. El virus también puede penetrar en el torrente sanguíneo, dijo el Dr. Schaffner.
Los Centros para el Control y la Prevención de Enfermedades dicen que el ARN del nuevo coronavirus ha sido detectado en muestras de sangre y materia fecal, pero que no está claro si el virus infeccioso puede permanecer en la sangre o la materia fecal.
La médula ósea y órganos como el hígado también pueden inflamarse, dijo el Dr. George Diaz, jefe de la sección de enfermedades infecciosas del Centro Médico Regional de Providence en Everett, Washington, cuyo equipo trató al primer paciente estadounidense de coronavirus. También puede haber cierta inflamación de los pequeños vasos sanguíneos, como ocurrió con el SARS, el brote viral de 2002 y 2003.
“El virus llegará a órganos como el corazón, los riñones, el hígado, y puede causar algún daño directo a esos órganos”, dijo el Dr. Schaffner. Cuando el sistema inmune del cuerpo empieza a funcionar a toda máquina para combatir la infección, la inflamación resultante puede hacer que esos órganos fallen, agregó.
Como resultado de ello, algunos pacientes pueden sufrir daños causados no sólo por el virus sino también por su propio sistema inmune, en tanto este se esfuerza por combatir la infección.
Los expertos aún no han documentado si el virus puede afectar el cerebro. Pero los científicos que estudiaron el SARS han informado cierta evidencia de que el virus del SARS puede infiltrar el cerebro en algunos pacientes. Dada la similitud entre el SARS y el Covid-19, la infección causada por el nuevo coronavirus, un trabajo publicado el mes pasado en el Journal of Medical Virology argumentaba que la posibilidad de que el nuevo coronavirus pueda infectar algunas células nerviosas no debería descartarse.
¿Por qué algunas personas se enferman gravemente pero la mayoría no?
Alrededor del 80 por ciento de las personas infectadas con el nuevo coronavirus tienen síntomas relativamente leves. Pero aproximadamente el 20 por ciento de las personas se enferma gravemente y en alrededor de un 2 por ciento de los pacientes de China, que ha tenido la mayoría de los casos, la enfermedad resultó fatal.
Los expertos dicen que los efectos parecen depender de lo fuerte o debilitado que esté el sistema inmune de la persona. Las personas mayores o aquellas con problemas de salud de base, como diabetes u otras enfermedades crónicas, tienen más probabilidades de desarrollar síntomas severos.
El Dr. Xiao realizó estudios patológicos a dos personas de China que ingresaron a un hospital de Wuhan en enero por otra razón –debían someterse a cirugía por padecer cáncer de pulmón en etapa temprana- pero cuyas historias clínicas más tarde mostraron que también estaban infectadas con coronavirus, hecho que el hospital no reconoció en aquel momento.
En ninguno de los dos pacientes el cáncer de pulmón estaba lo suficientemente avanzado como para matarlos, dijo. Uno de los pacientes, una mujer de 84 años con diabetes, murió de neumonía causada por el coronavirus, mostró su historia clínica, según dijo el Dr. Xiao.
La salud del otro paciente, un hombre de 73 años, era algo mejor: tenía una historia de hipertensión que había manejado bien durante veinte años. El Dr. Xiao señaló que al hombre le practicaron una cirugía exitosa para extirpar un tumor de pulmón, fue dado de alta y nueve días después volvió al hospital porque tenía fiebre y tos por lo que se determinó que era una infección por coronavirus.
El Dr. Xiao dijo que el hombre casi con seguridad se había contagiado durante su primera internación en el hospital, dado que otros pacientes en la misma sala de recuperación posquirúrgica más tarde tuvieron coronavirus. Al igual que en muchos otros casos, el hombre tardó días en manifestar síntomas respiratorios. El hombre se recuperó después de veinte días en la unidad de enfermedades infecciosas del hospital.
Los expertos dicen que, cuando los pacientes como este se recuperan, a menudo se debe a que la terapia de apoyo –fluidos, respirador y otros tratamientos- les permite sobrevivir a los peores efectos de la inflamación causada por el virus.
¿Qué es lo que los científicos aún no saben sobre los pacientes con coronavirus?
Muchas cosas. Aunque la enfermedad se parece al SARS en muchos aspectos y tiene elementos en común con la gripe y la neumonía, el rumbo que tomará el coronavirus de un paciente todavía no se comprende cabalmente.
Algunos pacientes pueden permanecer estables durante más de una semana y de repente desarrollar neumonía, dijo el Dr. Diaz. Algunos pacientes parecen recuperarse pero luego vuelven a tener síntomas.
El Dr. Xiao dijo que algunos pacientes de China se recuperaron pero volvieron a enfermarse, aparentemente debido a que tenían tejido pulmonar dañado y vulnerable que posteriormente fue atacado por bacterias de su propio cuerpo. Algunos de esos pacientes finalmente murieron por una infección bacteriana, no por el virus. Pero eso no parecía causar la mayoría de las muertes, añadió.
Otros casos han sido misterios trágicos. El Dr. Xiao dijo que conoció personalmente a un hombre y una mujer que se contagiaron pero parecían estar mejorando. Luego el hombre se deterioró y fue hospitalizado.
“Estaba en la sala de terapia intensiva recibiendo oxígeno y le envió un mensaje de texto a su mujer para decirle que estaba mejorando. Tenía buen apetito, etc.”, dijo el Dr. Xiao. “Pero luego, a última hora de la tarde, ella dejó de recibir mensajes. No sabía qué estaba pasando. A las 22, recibió un aviso del hospital de que él había fallecido”.
Pam Belluck es una escritora de salud y ciencia. Fue una de las siete empleadas del Times que recibió el Premio Pulitzer 2015 de Reportaje Internacional por la cobertura de la epidemia del Ébola. Es la autora de "Island Practice", sobre un colorido y contrario médico en Nantucket.















